Mishandeling van onze kat

Wij wonen sedert 1 jaar op een nieuw adres ..onze kat werd mishandeld waarbij haar dijbeen volledig is gebroken .
Ik woon sedert een jaar op een nieuw adres . Na een paar maanden vonden wij onze kat Bailey terug met open wonden aan haar pootjes.volledig mishandeld.
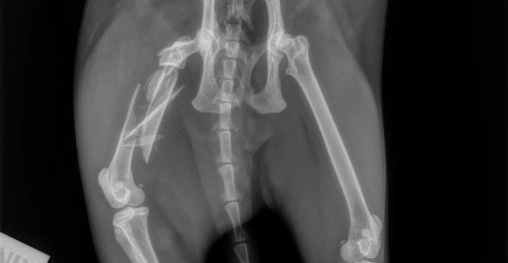
Nu een jaar later hebben ze onze kat noxy haar dijbeen volledig gebroken .De dierenarts en de dieren kliniek bevestigen dat deze spiraalbreuk niet door ongeval is veroorzaakt maar door het moedwillig wringen van het dijbeen .
Met onze steun actie komen we op tegen dierenmishandeling .
Politie heeft al een mailing in de buurt afgeleverd maar nog niets opgeleverd .
Wij komen op voor de rechten van onze katten en vragen hierbij jullie steun voor de operatie van onze kat Noxy en hopen hierbij dat de buurt ook ziet dat zoiets niet kan .
Bedankt en wij hopen op uw steun
Natascha
Updates
Collectanten
Actie georganiseerd door:
