Nala mijn poes aangereden. Dader onbekend.

Nala mijn poes aangereden. Dader onbekend.
Yvon  Schilder

De dierenartskosten 948,65 gedeeltelijk dekken. En de tuin afzetten zodat haar niets meer kan overkomen.

 

Doneer Wees de eerste om deze actie te steunen!

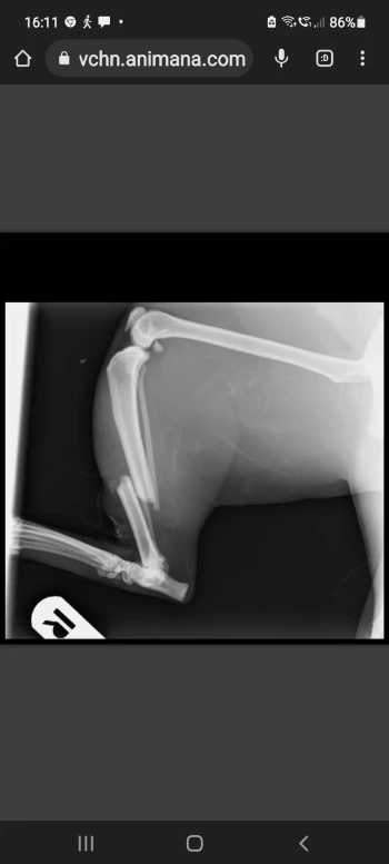
  • Hallo iedereen. Ik ben Nala een ontzettend lieve poes van 3 jaar oud. Ik ben overgenomen door mijn baasje omdat de vorige eigenaar mij niet meer wilde die had een ander 'speeltje' gevonden, een herdershond en toen moest ik weg. Ik ben aangereden en heb 2 botten gebroken in mijn rechterachterpoot. De dader is onbekend. Mijn baasje ging met mij op zondagmorgen naar de dierenarts. Ik ben geopereerd en heb een plaatje met schroeven erin gekregen met antibiotica. Het gaat hartstikke goed met mij na 6 weken in de bench en ben lekker verwend. Maar mijn baasje zit nog met de rekening van 948,65. Ook wil zij nu de tuin voor mij afzetten zodat er niets meer met mij kan gebeuren. Dit gaat zij van haar vakantiegeld doen. Zij verwacht niet het hele bedrag hier 'te krijgen' maar met elke 5,= zou zij heel blij zijn.

Updates

Laden...

Collectanten

Laden...
op 06-05-2022 gestart
363x bekeken

Actie georganiseerd door:

Yvon  Schilder

Yvon Schilder

 

Doneer Wees de eerste om deze actie te steunen!

Donaties

 
Toon alle donaties
op 06-05-2022 gestart
363x bekeken
 
Andere acties in: Dieren
Misbruik melden